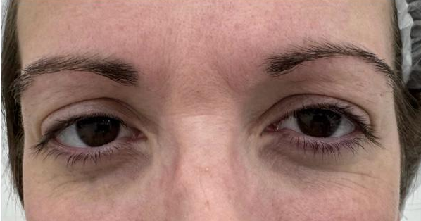
Ultherapy Prime®
El estándar de oro en lifting no invasivo. Ultherapy utiliza ultrasonido microfocalizado para tensar la piel desde las capas más profundas, estimulando la producción natural de colágeno sin cirugía ni tiempo de recuperación.
- Lifting facial y de cuello sin incisiones
- Tensado de piel con visualización en tiempo real
- Resultados naturales y progresivos



























































